محمد بن زايد ومحمد بن راشد: تمنياتنا بمستقبل مشرق لشعبنا وسلام واستقرار للعالم
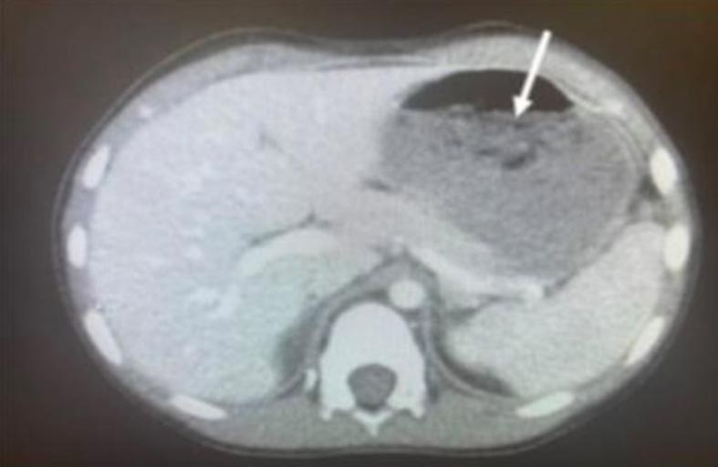
استخراج كتلة علكة ضخمة من معدة طفل
خضع طفل أمريكي يبلغ من العمر خمس سنوات لعملية جراحية عاجلة بعد اكتشاف كتلة ضخمة من العلكة في معدته.تم نقل الطفل الأمريكي المجهول الهوية إلى قسم الطوارئ بمستشفى أوهايو في الغرب الأوسط للولايات المتحدة، وهو يشكو من تشنجات وإسهال.
ويقول المسعفون إنهم اكتشفوا بأن الطفل التهم حوالي 40 قطعة من العلكة الخالية من السكر في اليوم السابق، ما أدى إلى نشوء كتلة كبيرة من العلكة في معدته. تمت إزالة الكتلة عن طريق وضع أنبوب معدني أسفل حلقه واستخدام ملقط للإمساك بها واستخراجها، وهذا ما أدى إلى إصابة الطفل بالتهابات في البلعوم.
وبحسب الأطباء فإن بلع العلكة عن طريق الخطأ ليس خطيراً لأن الجسم لا يستطيع هضمها، ويمكن أن تمر عبر الجهاز الهضمي كما هي وتخرج دون أن تتسبب بأذى، ولكنها يمكن أن تصبح خطيرة في حالات نادرة عندما يتم ابتلاع كميات كبيرة منها لأنها قد تسبب انسداداً في الأمعاء.