منوعات

غوغل يحتفل باليوم العالمي للمعلمين

احتفل عملاق محركات البحث في الإنترنت "غوغل"  أمس الأربعاء باليوم العالمي للمعلمين الذي يصادف الخامس من أكتوبر من كل عام. ونشر "غوغل" رسما متحركا على صفحته الرئيسية تظهر دفترا ولوحا مدرسيا، وفوقهما أدوات ... إقرأ المزيد

الكلاب تشم الإجهاد من عرق الإنسان وأنفاسه

توصلت دراسة جديدة إلى أن الإجهاد والتوتر يؤثر على رائحة عرق الإنسان وأيضاً أنفاسه، وأن الكلاب تستطيع تمييز هذه الرائحة. وأجرى باحثون في جامعة كوينز في بلفاست تجربة شارك فيها 4 كلاب مدربة، ... إقرأ المزيد

ملوثات الهواء تزيد خطر سرطان الثدي

قد يؤدي التعرض لعدد من ملوثات الهواء إلى زيادة خطر الإصابة بسرطان الثدي ، وفقاً لدراسة أجريت على آلاف النساء في فرنسا ، تنسجم نتائجها مع ما توصلت إليه أبحاث أخرى حديثة. وأكدت ... إقرأ المزيد

أعقاب السجائر تتحول إلى حشو للدمى

في منزل على مشارف العاصمة الهندية نيودلهي، تجلس نساء على الأرض ويبتسمن ويدردشن أثناء ملئهن دمى دببة ذات ألوان زاهية بحشو أبيض مصنوع من منتج يشيع وجوده في سلة المهملات. فمادة ذلك ... إقرأ المزيد

إنجاز لتقليل الاعتماد على أجهزة التبريد

نجح العلماء في جعل الطلاء الأكثر بياضا في العالم، رقيقا وخفيفا بالدرجة التي تسمح باستخدامه في طلاء السيارات وحتى الطائرات، لإبقائها باردة وتقليل الحاجة إلى أجهزة التبريد. ويبلغ سمك الطلاء فائق البياض، ... إقرأ المزيد

تحذير من تناول الخبز والرز الأبيض

كشفت دراسة طبية حديثة عن مخاطر تناول الحبوب المكررة كالخبر والرز الأبيض، محذرة من ارتباط ذلك السلوك الغذائي بارتفاع خطر الإصابة بمرض الشريان التاجي. وقالت الدراسة التي ستعرض نتائجها بشكل موسع في المؤتمر ... إقرأ المزيد

أيهما أقوى تأثيراً على الدماغ: الأحمر أم الأخضر؟

استخدم باحثون في دراسة موجات الرنين المغناطيسي لفهم تأثير اللون الأحمر على دماغ البشر، وخلصوا إلى أنه ليس قوياً بشكل خاص من حيث قوة ذبذبات غاما التي يسببها، وأن اللونين الأحمر والأخضر ... إقرأ المزيد

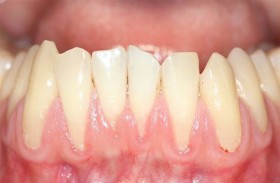
هل تنمو اللثة مرة أخرى بعد انحسارها؟

يحدث تراجع اللثة أو انحسارها لعدة أسباب، منها الالتهابات، وتنظيف الأسنان بفرشاة غير مناسبة، وصرير الأسنان، والشيخوخة، والتدخين، والإصابات. ويؤدي انحسارها إلى كشف الجذور في الأسفل. كما تسبب عوامل أخرى انحسار اللثة، مثل ... إقرأ المزيد